
В Женеве (Genève) врачи диагностировали у женщины средних лет тяжелое осложнение, связанное с редким дефицитом витамина C. Пациентка поступила в университетский госпиталь с жалобами на одышку, отеки и резкое ухудшение самочувствия. Медики сразу обратили внимание на выраженное истощение: при росте 1,65 метра ее вес едва достигал 40 килограммов. Индекс массы тела оказался критически низким — 14,7, что свидетельствовало о длительном расстройстве пищевого поведения.
Симптомы включали не только затрудненное дыхание при минимальной физической нагрузке, но и быструю утомляемость, потерю аппетита и внезапную прибавку в весе за счет отеков. Женщина призналась, что уже несколько недель не могла справиться с нарастающей слабостью. Врачи зафиксировали учащенный пульс, пониженное давление и ускоренное дыхание. На электрокардиограмме обнаружились признаки перегрузки правого желудочка сердца, что указывало на возможные проблемы с легочными сосудами.
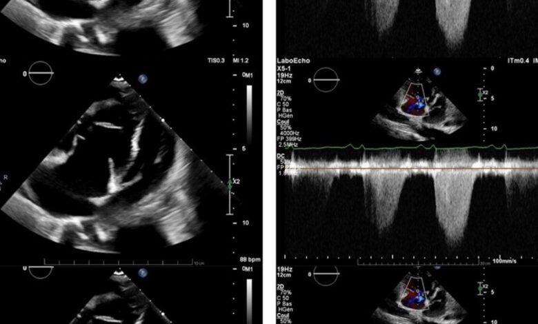
Анализы крови выявили анемию и биохимические признаки сердечной недостаточности. Дополнительные исследования позволили исключить тромбоэмболию легочной артерии, а эхокардиография показала, что левый желудочек сдавлен расширенным правым. Давление в легочной артерии оказалось значительно выше нормы, что подтвердило диагноз легочной гипертензии.
Диагностический поиск
Пациентка отрицала прием медикаментов и употребление психоактивных веществ. Врачи провели комплексное обследование, чтобы исключить инфекционные и аутоиммунные причины. Тесты на ВИЧ и вирусные гепатиты оказались отрицательными, иммунологические показатели не выходили за пределы нормы. Магнитно-резонансная томография сердца не выявила структурных аномалий или признаков воспаления миокарда. Позитронно-эмиссионная томография также не обнаружила патологических изменений.
После введения мочегонных препаратов пациентка потеряла 10 килограммов, что еще больше снизило ее индекс массы тела. Психиатрическое обследование подтвердило наличие хронического расстройства пищевого поведения, которое женщина неохотно признает. Это заставило врачей задуматься о возможных дефицитах жизненно важных веществ.
Витаминный дефицит
Лабораторные анализы показали критически низкий уровень витамина C — всего 2,1 микромоль на литр при норме от 17,0 до 85,0. Кроме того, был выявлен умеренный дефицит витамина B1. Врачи приняли решение начать интенсивную витаминную терапию, не прибегая к специфическим препаратам для легочной гипертензии.
Уже через неделю после начала приема витаминных добавок показатели крови пришли в норму. Давление в легочной артерии снизилось до допустимых значений, исчезли признаки сердечной недостаточности. Пациентка отметила значительное улучшение самочувствия: одышка и усталость больше не беспокоили, отеки полностью исчезли.
Редкая причина
Легочная гипертензия — опасное состояние, при котором давление в легочных сосудах превышает норму. Обычно ее связывают с заболеваниями сердца, легких или тромбозами. Однако в данном случае причиной стала цинга — тяжелый дефицит витамина C, который крайне редко встречается в развитых странах. В медицинской литературе описаны единичные случаи, когда подобный дефицит приводил к нарушению работы легочных сосудов.
Врачи отмечают, что метаболические причины легочной гипертензии встречаются нечасто. Среди них — недостаток витамина B1, который также может вызывать повышение давления в легочных артериях. Однако столь выраженный дефицит витамина C, приведший к столь серьезным последствиям, фиксируется крайне редко.
Выздоровление
После курса лечения пациентка вернулась к нормальной жизни. Врачи продолжают наблюдать за ее состоянием, чтобы предотвратить возможные рецидивы. Особое внимание уделяется коррекции питания и психологической поддержке, поскольку расстройства пищевого поведения часто приводят к тяжелым осложнениям.
Медики подчеркивают важность своевременной диагностики дефицитных состояний у пациентов с хроническим истощением. В подобных случаях даже незначительные отклонения в анализах могут указывать на серьезные проблемы со здоровьем. Витаминная терапия способна быстро восстановить функции организма, если причина выявлена вовремя.
Если Вы не знали, Женевский университетский госпиталь (Hôpitaux Universitaires de Genève) — крупнейшее медицинское учреждение Швейцарии, специализирующееся на сложных клинических случаях и научных исследованиях. Здесь работают ведущие специалисты Европы, а клиника регулярно становится площадкой для публикации уникальных медицинских наблюдений. Грегори Берра — один из известных кардиологов госпиталя, участвующий в международных проектах по изучению редких заболеваний сердца и сосудов.












