
В последние годы поиск эффективных решений для лечения диабета 1 типа остаётся одной из ключевых задач современной медицины. Новое исследование, проведённое учёными из Института Каролинска и Королевского технологического института KTH в Швеции, открывает перспективы для создания более надёжных и действенных клеточных терапий. Как отмечает Talent24h, команде удалось разработать усовершенствованный способ получения клеток, способных вырабатывать инсулин, из человеческих стволовых клеток. Эти клетки не только показали зрелость и однородность, но и успешно восстановили регуляцию сахара в крови у лабораторных мышей с диабетом.
Суть открытия
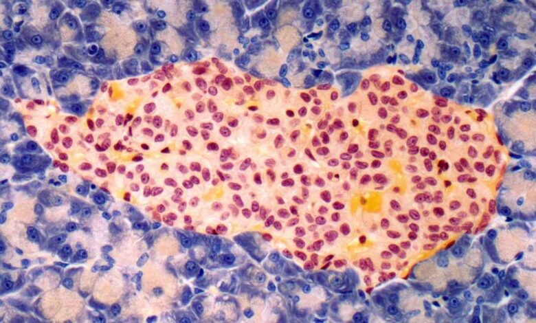
Диабет 1 типа развивается, когда иммунная система разрушает клетки поджелудочной железы, отвечающие за выработку инсулина. Без них организм теряет способность поддерживать стабильный уровень глюкозы, что приводит к тяжёлым последствиям для здоровья. Замена утраченных клеток рассматривалась как перспективное направление, однако предыдущие попытки использовать стволовые клетки давали нестабильные результаты: полученные клетки часто были незрелыми и не всегда реагировали на глюкозу должным образом.
В новом исследовании шведские специалисты предложили усовершенствованный процесс культивирования, который позволяет получать более зрелые и функциональные клетки. Эти клетки демонстрировали выраженную реакцию на глюкозу и выделяли инсулин в лабораторных условиях. После пересадки мышам с диабетом они обеспечили постепенное восстановление контроля над уровнем сахара в крови.
Технология и её особенности
Ключевым элементом метода стало создание условий, при которых клетки самостоятельно формируют трёхмерные скопления. Такой подход позволил снизить количество нежелательных типов клеток и повысить однородность популяции. В результате удалось получить клетки, которые не только вырабатывают инсулин, но и сохраняют способность реагировать на изменения уровня глюкозы в течение нескольких месяцев после пересадки.
По словам профессора Пер-Улофа Берггрена из Института Каролинска, новая технология обеспечивает стабильное получение высококачественных клеток из разных линий человеческих стволовых клеток. Это открывает возможности для разработки индивидуальных клеточных терапий, потенциально снижающих риск иммунного отторжения.
Результаты экспериментов
В ходе лабораторных испытаний клетки, выращенные по новой методике, успешно выделяли инсулин и реагировали на глюкозу. После пересадки в организм мышей с диабетом наблюдалось постепенное восстановление контроля над уровнем сахара. Пересадки проводились в переднюю камеру глаза, что позволяло минимально инвазивно отслеживать развитие и работу клеток на протяжении длительного времени.
Исследование, опубликованное в журнале Stem Cell Reports 16 апреля 2026 года, подчёркивает три основных преимущества нового подхода: получение более зрелых и однородных клеток, снижение количества нежелательных типов клеток в культуре и длительное сохранение способности регулировать уровень сахара у животных.
Потенциал для будущих терапий
Одной из главных проблем предыдущих методов было появление в культуре смеси нужных и ненужных клеток, а также недостаточная зрелость клеток, вырабатывающих инсулин. Новый способ позволяет минимизировать эти риски и повысить эффективность клеточной терапии.
Хотя в настоящее время уже ведутся клинические испытания с использованием стволовых клеток для лечения диабета 1 типа, описанная технология пока протестирована только на животных. Следующим шагом станет подготовка к возможному применению метода в клинической практике.
Профессор Фредрик Ланнер, один из авторов работы, отмечает, что предложенный подход способен решить ряд проблем, которые ранее тормозили развитие клеточных методов лечения диабета 1 типа. Исследовательская группа продолжит работу над внедрением этой технологии для борьбы с заболеванием.












